膝関節の痛み
KNEE JOINT PAIN

膝関節の痛み
膝の痛み
当院では、膝の痛みに対して保存療法から手術療法まで幅広い選択肢の中から、患者様の状態に応じた適切な診療を行います。膝の痛みでお悩みの方はご相談ください。
膝のしくみ
膝(ひざ)は、太ももの骨(大腿骨)、すねの骨(脛骨)、お皿の骨(膝蓋骨)の3つの骨から構成される関節です。
骨の表面を覆う関節軟骨は、関節をなめらかに動かし、体重負荷の衝撃を吸収します。
膝には前十字靱帯・後十字靱帯・内側側副靱帯・外側側副靱帯の4本の靱帯があり安定性を担います。さらに、大腿骨と脛骨の間にある半月板も衝撃吸収に重要な役割を果たします。
膝は「曲げる・伸ばす」動きが中心ですが、体重がかかる荷重関節のため、加齢・運動・労働などの影響で痛みが生じやすい部位です。

膝の痛みの主な原因疾患
- 変形性膝関節症
- 特発性膝骨壊死(大腿骨内顆骨壊死)など
変形性膝関節症
病気の概要
膝関節の軟骨が徐々にすり減ることで痛みや機能低下が生じ、進行するとO脚や可動域制限が目立ってきます。50〜60歳頃からの発症が増え、女性に多い傾向があります。
症状
- 動き始めの痛み、腫れ/関節水腫(いわゆる“水が溜まる”)
- 進行に伴い、動作中も痛みが持続
- 正座・しゃがみ動作が困難、伸びきらない
- さらに進むと安静時や夜間にも痛み、日常生活に支障
診断
触診や可動域・腫脹の評価に加え、X線検査で診断します。軟骨自体は写りませんが、大腿骨と脛骨の関節裂隙の狭小化が所見となります。末期では骨同士の接触が見られます。
治療
保存療法(手術以外)を基本に、必要に応じて手術を検討します。
- 生活の注意:痛みが強い時は負担の大きい運動・長時間立位・正座を控える/体重管理/杖の活用(反対側の手で使用)
- 薬物療法:消炎鎮痛薬の内服・外用(湿布・塗布薬)等 必要に応じてヒアルロン酸の関節内注射を行います。
※強い痛みが続く場合、ステロイド関節内注射を検討することがあります(頻度・量は医師判断)。 - 運動療法・リハビリ:大腿四頭筋を中心に膝周囲筋力を強化し、負担軽減と機能維持を目指します(理学療法士が指導)。
- 温熱療法:血行改善と筋緊張緩和を目的に実施します(電気・磁気・干渉波・ラジオ波などから選択)。
- 装具療法:サポーターや足底板(インソール)で力学的負担を調整。
手術療法
関節鏡手術/骨切り術/人工膝関節置換術から選択します。
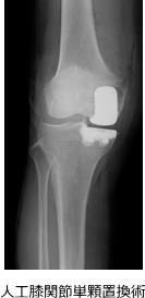
人工膝関節置換術は、変形した関節表面を人工関節(インプラント)に置き換える方法で、痛みの軽減が期待できます。
- 単顆置換術(UKA):内側または外側の限局した変形に対して、痛んだ側のみを置換
- 全置換術(TKA):関節全体の高度変形に対して、膝全体を置換
特発性膝骨壊死(大腿骨内顆骨壊死)
概要
60歳以上の女性に多いとされ、明らかな誘因なく膝骨の一部に壊死が生じる病態です。内側顆に好発し、急な激痛で発症することがあります。
診断
発症1〜2か月の早期はX線で変化が乏しいため、MRIが有用です。数か月で壊死部が丸く透けて見える所見が出ることがあります。進行すると関節面の陥没から変形性膝関節症に移行する場合があります。
治療
まずは保存療法が基本です(膝負担の軽減、消炎鎮痛薬、関節内注射、運動療法、装具療法)。
痛みが強く持続する場合は骨切り術または人工膝関節置換術を検討します。内側病変が中心の場合、単顆置換術が適応となることがあります。
担当診療科
整形外科(主担当)/ リウマチ科 / リハビリテーション科
人工関節センター(人工股関節置換術などの専門治療を実施)
※症状や疾患に応じて、関連各科が連携して診療を行います。
画像等の注記
掲載画像はイメージまたは一般的な所見例です。実際の所見・治療内容は患者様により異なります。
治療効果には個人差があります。特定の効果を保証するものではありません。
